• 2810 302 700 - 2810 302 710
  • ckurology@gmail.com
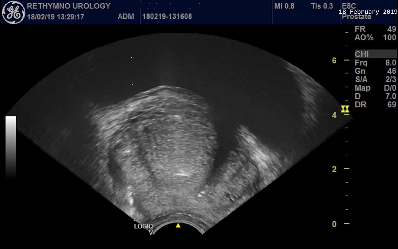
Υπερηχογραφικά καθοδηγούμενη διορθική βιοψία προστάτη

ΕΙΣΑΓΩΓΗ
Οι δύο συχνότερες παθολογικές καταστάσεις στους άνδρες >50 ετών είναι η καλοήθης υπερπλασία και ο καρκίνος του προστάτη. Ο καρκίνος του προστάτη είναι σήμερα ο συχνότερος καρκίνος στους άνδρες του Δυτικού κόσμου και αποτελεί τη δεύτερη αιτία θανάτου από καρκίνο. Στα αρχικά στάδια η νόσος δεν δίνει συμπτώματα. Απαραίτητες εξετάσεις θεωρούνται σήμερα η δακτυλική εξέταση και η μέτρηση μίας ειδικής ουσίας στο αίμα που λέγεται PSA. Όταν το PSA είναι αυξημένο ή αυξάνεται πολύ γρήγορα ή η δακτυλική εξέταση έχει κάποιο ύποπτο εύρημα, τότε θα ζητηθεί από το γιατρό σας να υποβληθείτε σε βιοψίες προστάτη για να είμαστε σίγουροι ότι δεν υπάρχει κάτι κακό ή αν υπάρχει, να διαγνωσθεί έγκαιρα και να μπορεί να θεραπευτεί. Τα τελευταία χρόνια η πολυπαραμετρική μαγνητική τομογραφία του προστάτη (mpMRI) μπορεί να προηγηθεί έτσι ώστε να γίνει περισσότερο «στοχευμένη» μια βιοψία ανάλογα με τα αποτελέσματα. Τέλος, η βιοψία μπορεί να γίνει μέσω του περινέου (χρήζει γενικής αναισθησίας) αλλά κυρίως μέσω του ορθού με υπερηχογραφική καθοδήγηση.

Προετοιμασία πριν τη βιοψία
Αν παίρνετε φάρμακα που επηρεάζουν την πήξη του αίματος, πρέπει να τα διακόψετε τουλάχιστον 5-7 μέρες νωρίτερα, για να μην υπάρχει αυξημένος κίνδυνος αιμορραγίας. Τέτοια φάρμακα είναι η ασπιρίνη, το Salospir, το Sintrom, το Plavix, το Iscover και νέα αντιπηκτικά όπως Pradaxa, Eliquis και Xarelto. Ενημερώστε το γιατρό σας έγκαιρα. Σε ορισμένες περιπτώσεις μπορεί να χρειαστεί να τα αντικαταστήσετε με ενέσιμη ηπαρίνη χαμηλού μοριακού βάρους μερικές ημέρες πριν τη βιοψία. Τα υπόλοιπα φάρμακά σας θα τα πάρετε κανονικά.
Σημαντικό!
Πολλοί ασθενείς απαγορεύεται να διακόψουν τα αντιπηκτικά φάρμακα διότι υπάρχει άμεσος καρδιολογικός κίνδυνος πχ μεταλλική βαλβίδα καρδιάς, πρόσφατο έμφραγμα μυοκαρδίου, μόσχευμα κ.α. σε κάθε περίπτωση ενημερώστε τον ιατρό σας.
Το προηγούμενο βράδυ καλό είναι να φάτε κάτι ελαφρύ. Το πρωί πριν τη βιοψία κάνετε ένα μπάνιο και φάτε κάτι ελαφρύ χωρίς υπόλειμμα, όπως φρυγανιές. Το προηγούμενο βράδυ ή το πρωί πριν τη βιοψία μπορείτε να κάνετε ένα κλύσμα ώστε να αδειάσει το περιεχόμενο του εντέρου σας. Τέλος, είναι προτιμητέο να έρθετε με κάποιον συνοδό στο ιατρείο και να μην οδηγήσετε μετά τη βιοψία.
Σημαντικό!
Η αντιβιοτική αγωγή που θα συστήσει ο ιατρός σας πρέπει να ξεκινήσει ~24 ώρες πριν τη βιοψία και να συνεχίσει για 3 ημέρες μετά (σύνολο 5 ημέρες).

Πως γίνεται η βιοψία?
Ο διορθικός υπερηχογράφος είναι μία λεπτή κεφαλή υπερήχου που με τοπική αναισθησία (αναισθητικό τζελ) εισέρχεται στο ορθό από τον πρωκτό μετά από αντισηψία της περιοχής. Χρησιμοποιεί υψηλής συχνότητας κύματα και παράγει λεπτομερείς εικόνες του προστάτη. Αυτό βοηθά πολύ στην μέτρηση του όγκου του προστάτη και την εύρεση ύποπτων περιοχών. Στη συνέχεια με μία ειδική βελόνη μπορεί να γίνει αναισθησία γύρω από τον προστάτη, συμπληρωματικά. Ακολουθεί με ένα ειδικό εργαλείο (αυτόματο μπιστόλι βιοψίας) η λήψη των ιστο-τεμαχιδίων που είναι συνήθως 12 έως 18, ανάλογα με τον όγκο του προστάτη. Ίσως νοιώσετε μία μικρή ενόχληση αλλά σπάνια υπάρχει ενοχλητικός πόνος. Η όλη διαδικασία κρατά 15-20 λεπτά. Ο ιατρός μπορεί να σας κάνει μία συμπληρωματική ενέσιμη αντιβίωση πριν ή αμέσως μετά τη βιοψία.

Μετά τη βιοψία
Καλό θα ήταν να μην οδηγήσετε και να μεταφερθείτε με τον συνοδό σας στο σπίτι για να ξαπλώσετε 1-2 ώρες. Την ημέρα της βιοψίας αλλά και λίγες μέρες μετά καλό θα ήταν να διατηρήσετε μία ελαφριά δίαιτα ώστε να μην έχετε σκληρά κόπρανα καθώς και να πίνετε πολλά υγρά. Μπορεί να παρατηρήσετε αίμα στα ούρα για διάστημα έως 10 ημέρες. Είναι κάτι που υποχωρεί αυτόματα και δεν είναι ανησυχητικό. Επίσης αίμα μπορεί να υπάρχει στα κόπρανά σας για το επόμενο διήμερο αφού οι βιοψίες λαμβάνονται μέσω του εντέρου. Αν η αιμορραγία είναι σημαντική, κάτι που συμβαίνει σε λιγότερο από 1%, επικοινωνήστε με το γιατρό σας. Στο σπέρμα σας μπορεί να υπάρχει αίμα για εβδομάδες μετά τη βιοψία, μην σας ανησυχεί, υποχωρεί αυτόματα.
Σημαντικό!
Αν παρά την αντιβίωση που θα πάρετε, εμφανιστεί ψηλός πυρετός (>38ο C) με ρίγος και κακουχία σημαίνει ότι κάνετε μία ουρολοίμωξη που λέγεται προστατίτιδα. Αυτό συμβαίνει σπάνια. Αν όμως συμβεί επικοινωνήστε άμεσα με το γιατρό σας γιατί μπορεί να χρειαστεί νοσηλεία για να λάβετε ενδοφλέβια αντιβίωση.